1. Bàn chân bẹt là gì?
Đầu tiên vòm gan chân có 3 dạng là: bàn chân bình thường, bàn chân bẹt (flat foot / low arch / Pes planus), bàn chân vòm cao (hollow foot / high arch / Pes cavus / Cavovarus). Trong đó, bàn chân bẹt là tình trạng một hoặc cả hai bàn chân có ít hoặc không có vòm.
Bàn chân bẹt/bàn chân bình thường/bàn chân vòm cao (từ trái qua phải)
Tất cả trẻ sơ sinh đều có bàn chân bẹt khi sinh ra và đa số trường hợp bàn chân bẹt không ảnh hưởng đến chức năng vận động, sinh hoạt của trẻ. Một số nghiên cứu uy tín đã chỉ ra đến 97% trẻ dưới 2 tuổi có bàn chân bẹt, 54% trẻ dưới 6 tuổi có bàn chân bẹt. Các nghiên cứu trong khoảng 50 năm trở lại đây cho thấy 20% đến 37% dân số có hội chứng bàn chân bẹt, tùy từng nghiên cứu. Vì vậy đây hoàn toàn không phải là bất thường hiếm gặp.
Trong quá trình phát triển của trẻ, vòm gan chân cũng được phát triển dần và trở nên rõ hơn từ khoảng 6 tuổi trở lên. Trong trường hợp vòm gan chân vì 1 lí do nào đó không thể phát triển cao lên như bình thường, trẻ sẽ xuất hiện bàn chân bẹt. Ngược lại, một số trường hợp bất thường khác trong cấu trúc giải phẫu hoặc trương lực cơ có thể khiến bàn chân có dạng vòm cao.
Và quan trọng nhất, không tìm thấy sự liên quan giữa hình dạng bàn chân với triệu chứng đau và hạn chế chức năng bàn chân. Một nghiên cứu trên hơn 2000 người chơi thể thao cho thấy có đến 12.8% có bàn chân bẹt.
Vì vậy, bàn chân bẹt chỉ là một trong số các yếu tố có thể gây đau bàn chân hoặc hạn chế vận động, mà không phải là nguyên nhân chính. Vì vậy, cho dù có bàn chân bẹt nhưng chức năng vận động bình thường thì cũng chưa cần phải thực hiệp điều trị hay các biện pháp can thiệp.
2. Khi nào cần cho trẻ đi khám bàn chân bẹt?
Để chẩn đoán được chính xác trẻ có bị bàn chân bẹt và có cần thực hiện điều trị hay can thiệp hay không, thì cần kiến thức chuyên sâu của bác sĩ chuyên khoa. Còn với các phụ huynh bình thường, bố mẹ có thể quan sát con và tự trả lời 2 câu hỏi:
Câu hỏi 1: Con có bàn chân bẹt hay không?
Bố mẹ quan sát chân con khi đứng. Nếu gót vẹo ngoài, không thấy vòm gan chân, mặt trong gan chân sát đất, vết bàn chân đầy (cho con đi chân ướt trên mặt đất/sàn) như hình thì tức là con có bàn chân bẹt.

Câu hỏi 2: Nếu có, con có cần đến khám bác sĩ không?
Với trẻ từ 2 tuổi trở xuống:
Với độ tuổi này, nếu bé đã biết đi, bố mẹ không cần quan tâm đến bàn chân bẹt hay không vì 97% trẻ em đều bẹt. Nếu chưa biết đi cần cho bé đi khám bác sĩ Nhi khoa hoặc bác sĩ Chỉnh hình Nhi. Tuy nhiên, bàn chân bẹt không ảnh hưởng đến việc chậm biết đi của trẻ.
Với trẻ từ 2 tuổi trở lên, bố mẹ trả lời tiếp các câu hỏi sau:
Câu hỏi 3: Con có ngại/không dám chạy nhảy, leo trèo, vận động mạnh hay không? Hay vẫn chơi đùa bình thường như các bạn khác?
Câu hỏi 4: Con có bao giờ kêu đau mặt trong bàn chân, cổ chân, mắt cá chân bên trong, nhất là sau khi chạy nhảy, sau khi đi học về hay không? Không tính trường hợp bị chấn thương.
Nếu cả 2 câu trả lời trên đều là không, bố mẹ không nhất thiết phải cho con đi khám bởi trong trường hợp này bàn chân bẹt không ảnh hưởng đến khả năng vận động của con, bố mẹ chỉ cần tự theo dõi tới khi con 6 tuổi.
Nếu 1 trong 2 hoặc cả 2 câu trả lời là có, hoặc sau 6 tuổi chân con vẫn bẹt thì bố mẹ cho con tới khám bác sĩ chuyên khoa chỉnh hình.
3. Làm thế nào để nhận biết bàn chân bẹt?
Về chuyên môn y khoa, bàn chân bẹt được chia làm 3 loại:
- Bàn chân bẹt mềm (flexible flat foot – FFF), đại đa số trẻ em có bàn chân bẹt là loại này.
- Bàn chân bẹt cứng (rigid flat foot – RFF).
- Bàn chân bẹt mắc phải ở người trưởng thành (Adult - acquired flatfoot) gây ra do khiếm khuyết của gân chày sau (Posterior tibial tendon insufficiency – PTTI).
Vậy thì để chẩn đoán chính xác bàn chân bẹt, đánh giá mức độ, quyết định can thiệp hay không, can thiệp như thế nào thì bác sĩ chuyên khoa sẽ phải hiểu rất rõ về liên quan cơ sinh học giữa cấu trúc bàn chân với khớp gối, háng, cột sống, cũng như thực hiện thăm khám đầy đủ về chuyên khoa.
- Khám lâm sàng
Bác sĩ sẽ cần đánh giá toàn bộ hình dáng, tư thế của trẻ khi đứng và đi lại; đánh giá biên độ, khả năng vận động và trục của các khớp háng, gối, cổ chân. Từ đó, đánh giá được bệnh nhân có bất thường gì ở các vị trí khác hay không.
Bác sĩ sẽ đánh giá phần bàn chân bằng các bài kiểm tra: đi kiễng gót, ngồi thả lỏng bàn chân, dấu hiệu “thấy nhiều ngón chân khi nhìn từ phía sau” (too many toes), v.v. rất nhiều kiểm tra nhau khác tùy từng trường hợp để xác định loại bất thường và mức độ bất thường.
Nhận biết bàn chân bẹt
- Chẩn đoán hình ảnh:
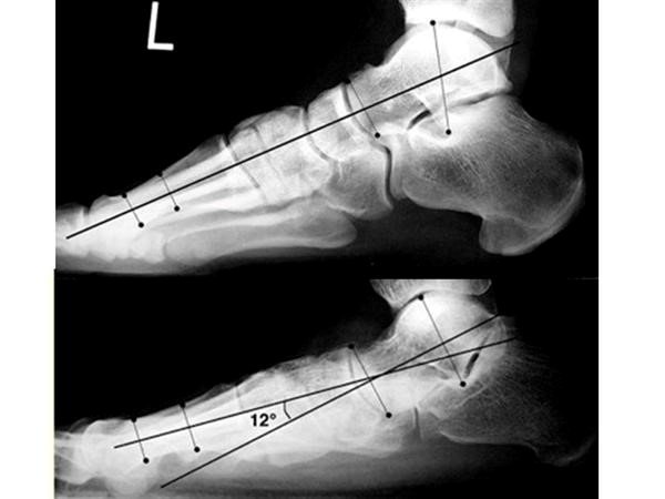
Chẩn đoán hình ảnh dóng vai trò rất lớn trong việc đánh giá cấu trúc xương của trẻ. Đầu tiên là phim Xquang bàn chân, cổ chân thẳng, nghiêng ở tư thế đứng sẽ giúp cung cấp những thông tin giá trị về những bất thường về giải phẫu các xương bàn chân, bất thường về khớp cổ chân cũng như giúp đo giá trị các góc giải phẫu quan trọng. Ví dụ với bàn chân bẹt thì góc Meary (ở hình dưới) sẽ lớn hơn 4 độ.

Trong một số trường hợp nghi ngờ có bất thường khác ngoài bàn chân bẹt, bác sĩ có thể yêu cầu chụp thêm các phim khác ví dụ Xquang toàn trục chi dưới, CT hoặc MRI cổ chân ...
- Đánh giá áp lực bàn chân:
Cần phân biệt rõ đánh giá áp lực bàn chân với việc chụp ảnh/scan hình dạng bàn chân. Việc chụp ảnh/scan hình ảnh bàn chân gần như không có ý nghĩa trong việc đánh giá mức độ bất thường bàn chân. Thông số có ý nghĩa phải là áp lực cụ thể (tính bằng N/cm2 hoặc Kg/cm2 ) từng vùng của bàn chân khi đứng hoặc đi lại để chẩn đoán được rằng mức độ bất thường của trẻ đến đâu.
Có 2 kiểu đo áp lực bàn chân: đo khi đứng 1 chỗ hoặc đo khi vận động, thì việc đo khi trẻ đi lại, thậm chí là chạy sẽ có ý nghĩa nhiều hơn việc đo khi đứng 1 chỗ, lí do là vì thực tế bàn chân bẹt nếu gây đau sẽ chỉ xuất hiện trong hoặc sau khi trẻ vận động. Áp lực bàn chân khi đứng yên một chỗ không mô tả chính xác được tình trạng thực tế của trẻ.
Từ những thông tin trên (có thể gồm đo áp lực bàn chân hoặc không), các bác sĩ mới kết luận được là trẻ có bị bàn chân bẹt hay không, nếu bị thì mức độ nào, có cần can thiệp hay không, biện pháp là gì.

Phân tích áp lực bàn chân tại từng cm2 bàn chân trong cả quãng đường, kèm các thông số khác về dáng đi/chạy, trọng tâm, góc xoay bàn chân, chênh lệch thời gian/khoảng cách trong từng chu kì bước đi giữa 2 chân tại Cơ xương khớp anh Khoa
4. Điều trị bàn chân bẹt như thế nào?
Đại đa số trường hợp trẻ có bàn chân bẹt không có triệu chứng và vòm gan chân sẽ cải thiện theo tuổi, vậy nên không cần bất kì một biện pháp điều trị gì mà chỉ cần theo dõi định kì.
Với những trẻ có triệu chứng đau vùng bàn chân, cổ chân hoặc có biểu hiện hạn chế chức năng vận động, bác sĩ chuyên khoa có thể chỉ định điều trị theo 1 trong 2 hướng: không phẫu thuật hoặc phẫu thuật.
a. Điều trị bảo tồn (không phẫu thuật):
Được chỉ định trong các trường hợp bàn chân bẹt có triệu chứng như mô tả ở trên. Việc điều trị bảo tồn bao gồm một hoặc phối hợp các phương pháp sau:
- Tập luyện các bài tập nhằm kéo dãn gân Achilles và tăng sức mạnh cơ chày sau.
- Sử dụng lót giày định hình, hỗ trợ nâng vòm gan chân
b. Điều trị phẫu thuật:
Phương án phẫu thuật sẽ được tính tới khi có cả 3 tiêu chuẩn sau:
- Trẻ có triệu chứng đau thường xuyên, ảnh hưởng tới chức năng sinh hoạt, hạn chế khả năng vận động.
- Đã điều trị bằng các biện pháp bảo tồn nhưng không cải thiện
- Bàn chân trẻ đã phát triển hoàn thiện, khoảng 8-10 tuổi hoặc lớn hơn.
Một số trường hợp không ảnh hưởng tới chức năng nhưng vẫn có thể phẫu thuật nếu gia đình trẻ muốn cải thiện về thẩm mỹ.
5. Những hiểu lầm thường gặp về lót giày cho bàn chân bẹt
Lót giày chỉnh hình cho bàn chân bẹt là 1 trong số các loại dụng cụ can thiệp y khoa chuyên dụng cho vùng cổ bàn chân – Ankle Foot Orthosis (AFO. Việc can thiệp không đúng chỉ định không những không cải thiện được tình trạng mà còn có nguy cơ ảnh hưởng không tốt về lâu dài.
Việc trẻ bị bắt đi lót giày không đúng chỉ định, không phù hợp với cấu trúc bàn chân, gây đau, khó chịu, hạn chế các hoạt động bình thường, thậm chí làm tệ hơn tình trạng bàn chân của trẻ. Những hiểu lầm thường gặp nhất như:
- Cứ bàn chân bẹt là phải dùng lót giày/đế/nẹp chỉnh hình?
Sai. Nếu trẻ không đau, không hạn chế vận động thì cho dù có bàn chân bẹt cũng không có chỉ định dùng dụng cụ chỉnh hình, đặc biệt là trẻ dưới 6 tuổi.
- Lót giày chỉnh hình sửa được bàn chân bẹt, hay nói cách khác là thay đổi được bàn chân từ bẹt thành bình thường?
Sai. Các nghiên cứu đã chứng minh lót giày chỉnh hình không có tác dụng thay đổi cấu trúc bàn chân, không thay đổi được chiều cao thực của vòm gan chân. Ở những bệnh nhân có bàn chân bẹt cứng hoặc bàn chân bẹt mềm kèm theo co ngắn gân Achilles, việc dùng lót giày này còn làm các triệu chứng trầm trọng hơn. Mục đích của lót giày chỉnh hình chỉ là giúp nâng đỡ vòm gan chân tạm thời, thay đổi phân bố áp lực bàn chân nhằm làm giảm triệu chứng đau khi vận động và thường chỉ được chỉ định cho những trường hợp không đáp ứng với tập luyện.
CÔNG TY TNHH MTV ĐÔNG Y GIA TRUYỀN LIÊN HOA ĐƯỜNG
CƠ XƯƠNG KHỚP ANH KHOA
Địa chỉ trụ sở: 167 Hoàng Ngân, Phường 16, Quận 8, Thành phố Hồ Chí Minh, Việt Nam
Mã số thuế: 0318391524
Số Điện Thoại: 0937976891
Email: lienhoaduong0202@gmail.com